1. Haberler
  2. SAĞLIK
  3. Erzurum’da Çocuk 19 Mıknatısı Yuttu!

Erzurum’da Çocuk 19 Mıknatısı Yuttu!

featured
service
Paylaş

Bu Yazıyı Paylaş

veya linki kopyala

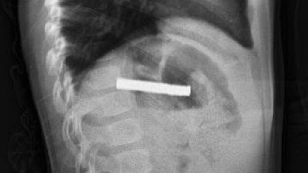
Erzurum’da meydana gelen ilginç bir olayda, bir çocuk evde bulunan 19 mıknatısı yuttu.

Çocuğun rahatsızlandığını fark eden ailesi, hemen hastaneye başvurdu.

BOĞAZINDAN 19 ADET MIKNATIS ÇIKARILDI

Çocuk, daha sonra Elazığ’a sevk edildi.

Fırat Üniversitesi Çocuk Gastroenteroloji Hepatoloji ve Beslenme Bilim Dalı Başkanı Prof. Dr. Yaşar Doğan, küçük hastanın yemek borusuna yapışmış 19 mıknatısı endoskopik yöntemle başarıyla çıkardı.

Mıknatısların uzun süre yemek borusunda kalması nedeniyle, yemek borusu ve mide girişinde bazı zedelenmeler meydana geldi. Ancak çocuğun sağlık durumunun iyi olduğu ve taburcu edildiği bildirildi.

E-posta adresiniz yayınlanmayacak. Gerekli alanlar * ile işaretlenmişlerdir

Giriş Yap

Antalya Haberim ayrıcalıklarından yararlanmak için hemen giriş yapın veya hesap oluşturun, üstelik tamamen ücretsiz!

KAI ile Haber Hakkında Sohbet
Sohbet sistemi şu anda aktif değil. Lütfen daha sonra tekrar deneyin.